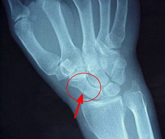
舟状骨骨折

舟状骨は手関節にある8つの手根骨1つで母指(親指)側にあり、手根骨の中でも重要なものの1つです。

船底のような彎曲をしているので船のような恰好の骨ということで舟状骨と言います。
舟状骨は、母指の列にあるため他の指の列とは45度傾いて存在します。

そのため舟状骨の骨折は、通常のX線(レントゲン)写真の撮り方では骨折は見えにくく、見逃されてしまうこともあります。

放置すると偽関節になります。(偽関節とは、骨折した骨がつかず、関節のように動くものをいいます。)

舟状骨骨折は偽関節になりやすいのが特徴です。

 

舟状骨骨折:手の平をついて転んでしまった

【症状】

急性期では、手首の母指側が腫れ、痛みがあります。

急性期を過ぎると一時軽快しますが、放置して骨折部がつかずに偽関節になると、手首の関節の変形が進行します。

手首に痛みが生じて、力が入らなくなり、また動きにくくなってきます。

【原因・病態】

スポーツ交通事故などで手首を背屈して手をついたときによく起こります。(手の平をついて転んだとき)

舟状骨骨折には、いろいろな折れ方があります。

最も多い骨折部位は、舟状骨の腰部と呼ばれるくびれた部分です。

舟状骨は、指先の側から手首に向かって血行があるので、腰部に骨折が生じるとその中枢側の血行不全が生じやすく、偽関節になりやすい骨折です。

 

また舟状骨骨折は、骨折しているとは思わず、捻挫したと思ったまま放置したため、偽関節になることが多いのが特徴です。

【診断】

手首の痛みが続き、動きにくくなれば、舟状骨骨折舟状骨偽関節も疑い、X線撮影が重要です。

しかし、初期には普通のX線写真でも発見されにくいことが多く、これが偽関節になる原因の1つです。

疑わしいものは、CTMRIをとると骨折があればはっきりします。

治療:ギプス固定

舟状骨は血行が悪いため、非常に治りにくい骨折1つです。

早期に発見された場合、ギプス固定で治療することもあります。

この固定は長期になることが多いため、最近では特殊なネジによる固定を行って治療期間を短縮することも積極的に行われています。

治療:手術による固定

偽関節になったものでは、放置すると手首全体が悪くなってくることが多いため、手術が必要です。

整形外科へご紹介いたします。

お電話でのお問合せはこちら

080-3671-9577

自費治療は、クレジットカードがご利用いただけます。

からだ工房meguri接骨院は、根本の原因を明確にして、治す治療を行います。

以下の患者様は、是非当院の施術を受けてください!

 

本気体の痛みを治したい方

(治療は二人三脚で行うものです。全力で治療を行うため、本気の患者様ほど必ず治療効果があります!)

・姿勢指導、運動指導を受けたい方

・体のゆがみを治したい方(骨盤のゆがみ)

・姿勢を治したい方(猫背、ストレートネック)

 

痛みが治った後のメンテナンスをご希望の方

春日井の接骨院・整体なら【からだ工房meguri接骨院】へ。

首・肩の治療が専門です。

頭痛、腰痛も根本から治します。

姿勢指導、運動指導も対応いたします。

女性院長です。

気になる症状は?

ここでは当院の患者さまの症例をご紹介いたします。

寝違え・首の痛み

当院は、首・肩の治療が専門です。
『朝起きてから、首が痛い。』
『痛みで首を動かせない。』など、寝違えの症状はもちろん、ストレートネックの治療もいたします。

肩こり

当院は、首・肩の治療が専門です。
背骨を動かして、筋肉をしっかり緩ませることで、辛い肩こり、頭痛、吐き気などの症状を楽にします。

 

頭痛

頚椎(首の部分の背骨)の上から3番目がずれていたり、関節が狭くなっていると頭痛が起こります。
首、肩、背中の筋肉が硬いと血行が悪くなり、酸欠により頭痛が起こります。

腰痛

ぎっくり腰になりそう』
『前かがみで腰が痛い、怖い』
腰椎椎間板ヘルニアによる腰痛』など、当院の治療により治ります。骨盤と背骨の動きを作ることで、根本から治し痛みを予防します。

骨盤矯正

骨盤が開いたり、骨盤のゆがみ、仙腸関節のずれにより、腰痛、歩くと痛い、股関節が痛い、などの症状が出ます。
骨盤の動きを出して、症状の改善と予防をします。

姿勢矯正(猫背)

猫背や姿勢が気になる』
『辛い肩こりがある』
『繰り返す腰痛がある』
体が疲れやすい』などの方、姿勢矯正で改善いたします。
睡眠が浅い、自律神経失調症の疑いがある方、不定愁訴のある方もご相談して下さい。

お気軽にお問合せ・ご相談ください

※営業はお断りします


受付時間

9:00~12:30、14:30~19:00

※予約のお電話は、21時迄つながります。

 
休診日

 12/30~1/3
※日曜、祝日も全日診療します。

 

当院は、予約優先制です。

来院前に、お電話をください。

 

パソコン|モバイル
ページトップに戻る